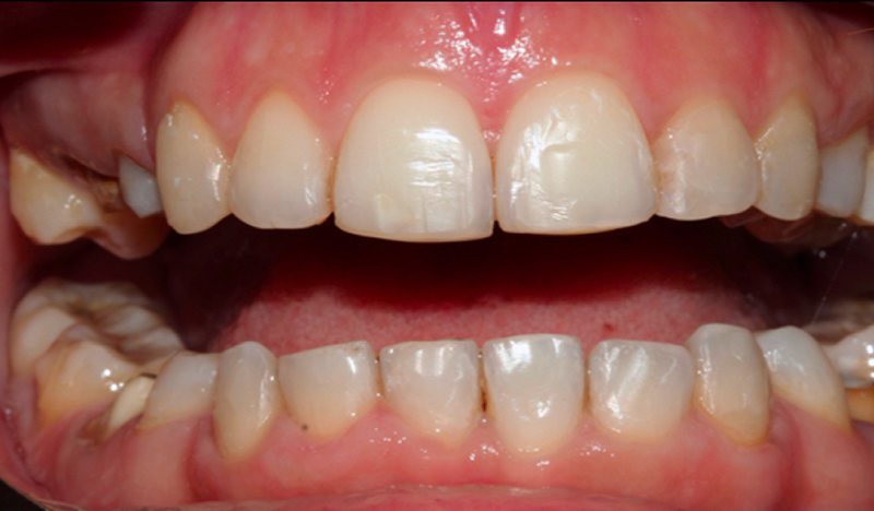
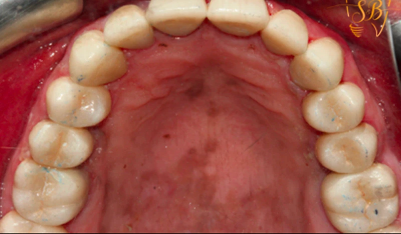
Smile Gallery
About Us
See the incredible transformations
5
Based on 120+ reviews
powerd by G o o g l e


















What Our Clients Say
Testimonial
Stories of Healing and Hope from Our Patients
At S&B Dental, the experience has been very satisfying as dental services was not at all painful and with the professional services the team has provided to their customers, loyalty will never be an issue. They have gained life time customers!! Well done team👏
Jay Nambiar
I have Lost of anxiety about going to the dentist. After the visit, they guide me to the best solution as per my requirement. They made me feel comfortable and I believe the treatment plan is actionable . I took veneers treatment for my front tooth so now i can freedom of smile .
Aniket Kadam
As someone who is very sensitive to pain, doctor Abbas handled my dental case very well. Didn’t feel an ounce of pain during my wisdom tooth extraction whether it was during the procedure or after. Thank you so much for the care Doctor Abbas
Gehna Khaturia
I was being treated for a root canal and tooth Implants and Dr Abbas really took good care of the complete procedure and guided me well on the steps towards tooth healing. He is very patient and explained the procedure to the point. I highly recommend him if you really need to get your smile back.☺️
Clatina D'souza
One of the best dental clinics in and around the Andheri area. Dr. Raman and Dr. Abbas are very knowledgeable about dental issues and are extremely adept at all dental treatments. They should be the first choice for cleaning or implants. We also learnt a lot about dental hygiene from them. Very cordial and knowledgeable staff as well. Extremely satisfied.
Jaspreet Swaich
Dr. Abbas and Dr. Ramandeep are the specialists when it comes to implants and surgery. The entire process (from diagnosis to implant surgery to placing the cap) was very seamless. Really recommend this clinic to everyone.
Paras Prakash
I went for a root canal treatment at S&B Dental Specialities – Centre of Advanced Dentistry. Initially I was apprehensive about the procedure being painful, but Dr. Raman conducted the entire procedure so skillfully that I hardly felt any pain. She is very good at her job.
Jayanti Poojari
Dr. Raman is someone you can trust especially if you get anxious when it comes to dental procedures. Highly professional, Calm, confident, caring and passionate about dentistry.I highly recommend S&B Dental Specialties Centre. Thank you for evaluating and suggesting appropriate treatment.
Dr. Stacey Viegas
One of the best dental clinic in Mumbai. Painless Oral surgery + Root canal. Well mannered staff and friendly doctors I didn’t feel that I’m in clinic I felt like home. I will surely recommend and wanna say thanks to S&B Dental Specialities Centre
Dev Rappria
Stories of Healing and Hope from Our Patients
I had Lots of anxiety about going to the dentist, After visiting S&B Dental Specialities, Dr. Raman and Dr. Abbas made me feel comfortable and I believe their treatment plan is actionable and has my best interest in mind
I had Lots of anxiety about going to the dentist, After visiting S&B Dental Specialities, Dr. Raman and Dr. Abbas made me feel comfortable and I believe their treatment plan is actionable and has my best interest in mind
I had Lots of anxiety about going to the dentist, After visiting S&B Dental Specialities, Dr. Raman and Dr. Abbas made me feel comfortable and I believe their treatment plan is actionable and has my best interest in mind
I had Lots of anxiety about going to the dentist, After visiting S&B Dental Specialities, Dr. Raman and Dr. Abbas made me feel comfortable and I believe their treatment plan is actionable and has my best interest in mind
I had Lots of anxiety about going to the dentist, After visiting S&B Dental Specialities, Dr. Raman and Dr. Abbas made me feel comfortable and I believe their treatment plan is actionable and has my best interest in mind
Dr. Abbas and Dr. Ramandeep are the specialists when it comes to implants and surgery. The entire process (from diagnosis to implant surgery to placing the cap) was very seamless. Really recommend this clinic to everyone.
I had Lots of anxiety about going to the dentist, After visiting S&B Dental Specialities, Dr. Raman and Dr. Abbas made me feel comfortable and I believe their treatment plan is actionable and has my best interest in mind
I had Lots of anxiety about going to the dentist, After visiting S&B Dental Specialities, Dr. Raman and Dr. Abbas made me feel comfortable and I believe their treatment plan is actionable and has my best interest in mind
I had Lots of anxiety about going to the dentist, After visiting S&B Dental Specialities, Dr. Raman and Dr. Abbas made me feel comfortable and I believe their treatment plan is actionable and has my best interest in mind
Follow Us on Instagram
Stay updated with our newest teas, health tips, and special discounts.
Follow Us on Instagram
Stay updated with our newest teas, health tips, and special discounts.
Regular Dental Checkups Matter
Our Address
S&B Dental Specialities 104, 1st Floor, Aadarsh Society, KD Gaikwad Road, Four Bunglows, Andheri West, Mumbai 400053.
Opening Hours
Mon to Sat: 11:00 AM - 08:30 PM
Regular Dental Checkups Matter
Lorem ipsum dolor sit amet consectetur. Sed enim magnis placerat metus et. Dignissim eu enim in aliquam ante odio magna interdum. Tincidunt convallis ut in elit et sapien faucibus nisi in. Pellentesque enim amet risus vitae.
Our Address
S&B Dental Specialities 104, 1st Floor, Aadarsh Society, KD Gaikwad Road, Four Bunglows, Andheri West, Mumbai 400053.
Opening Hours
Mon to Sat: 11:00 AM - 08:30 PM
Book Your Consultation Today
If you’re experiencing tooth pain or discomfort, don’t wait! Book your consultation today at S&B Dental Specialities. Our expert team is ready to provide effective and comfortable root canal treatments to save your tooth and restore your smile. Contact us now to schedule your appointment and get the relief you need!
Our Address
S&B Dental Specialities 104, 1st Floor, Aadarsh Society, KD Gaikwad Road, Four Bunglows, Andheri West, Mumbai 400053.
Opening Hours
Mon to Sat: 11:00 AM - 08:30 PM
Book Your Consultation Today
If you’re experiencing tooth pain or discomfort, don’t wait! Book your consultation today at S&B Dental Specialities. Our expert team is ready to provide effective and comfortable root canal treatments to save your tooth and restore your smile. Contact us now to schedule your appointment and get the relief you need!
Our Address
S&B Dental Specialities 104, 1st Floor, Aadarsh Society, KD Gaikwad Road, Four Bunglows, Andheri West, Mumbai 400053.
Opening Hours
Mon to Sat: 11:00 AM - 08:30 PM
What Makes Us Special
Our Address
S&B Dental Specialities 104, 1st Floor, Aadarsh Society, KD Gaikwad Road, Four Bunglows, Andheri West, Mumbai 400053.
Opening Hours
Mon to Sat: 11:00 AM - 08:30 PM